Our Blogs & Resources
Read about our discoveries, and the evolution of work.
Blog

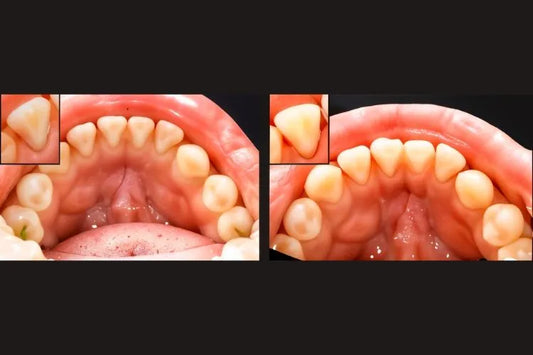
Can Clear Aligners Fix an Overbite?
Table of contents 1. What Causes an Overbite? 2. How Do Clear Aligners Work? 3. Can Clear Aligners Fix an Overbite? 4. Benefits of Clear Aligners for Overbites 5. Limitations...
Can Clear Aligners Fix an Overbite?
Table of contents 1. What Causes an Overbite? 2. How Do Clear Aligners Work? 3. Can Clear Aligners Fix an Overbite? 4. Benefits of Clear Aligners for Overbites 5. Limitations...
Continue Reading
How to Make the Most Out of Your Clear Aligners Treatment
Table of contents Introduction – How to Make the Most Out of Your Clear Aligners Wear Your Clear Aligners for at least 22 hours a day Take care of your...
How to Make the Most Out of Your Clear Aligners Treatment
Table of contents Introduction – How to Make the Most Out of Your Clear Aligners Wear Your Clear Aligners for at least 22 hours a day Take care of your...
Continue Reading
4 Types of Malocclusion Fixed by Clear aligners
Table of contents Type I – Overbite Type II – Underbite Type III – Cross bite Type IV – Open bite Conclusion FAQs Malocclusion refers to a misalignment of the...
4 Types of Malocclusion Fixed by Clear aligners
Table of contents Type I – Overbite Type II – Underbite Type III – Cross bite Type IV – Open bite Conclusion FAQs Malocclusion refers to a misalignment of the...
Continue Reading
Oral Hygiene with Clear Braces: A Dental Care Guide 2025
Table of contents Introduction Introduction of clear braces Importance of oral hygiene with clear braces Comfort Understanding Clear Braces How clear braces work Advantages of clear braces Who is a...
Oral Hygiene with Clear Braces: A Dental Care Guide 2025
Table of contents Introduction Introduction of clear braces Importance of oral hygiene with clear braces Comfort Understanding Clear Braces How clear braces work Advantages of clear braces Who is a...
Continue Reading
Are Clear Braces Really Better Than Traditional Braces?
Table of contents Reasons to Choose Clear Aligners Invisibility Comfort Easy Cleaning Fewer Visits to Dentists Eat what you like Non-Invasive Scanning Book your Order Now! FAQs Reasons to Choose...
Are Clear Braces Really Better Than Traditional Braces?
Table of contents Reasons to Choose Clear Aligners Invisibility Comfort Easy Cleaning Fewer Visits to Dentists Eat what you like Non-Invasive Scanning Book your Order Now! FAQs Reasons to Choose...
Continue Reading
The Role of Clear Aligners in Improving Overall Oral Health
Table of contents Can aligners enhance oral health? How can Clear Aligners help? Can orthodontic aligners cause any issues? Final Reflections FAQs There is so much more to gain from...
The Role of Clear Aligners in Improving Overall Oral Health
Table of contents Can aligners enhance oral health? How can Clear Aligners help? Can orthodontic aligners cause any issues? Final Reflections FAQs There is so much more to gain from...
Continue Reading
How To Achive A Picture Perfect Smile
Table of contents How to Achieve A Picture-Perfect Smile Why Do We Feel Insecure About Our Smile? The Benefits of Having a Healthy Smile A Healthy Smile Reduces the Risk...
How To Achive A Picture Perfect Smile
Table of contents How to Achieve A Picture-Perfect Smile Why Do We Feel Insecure About Our Smile? The Benefits of Having a Healthy Smile A Healthy Smile Reduces the Risk...
Continue Reading
How Effective Are Invisible Braces
Table of contents Clear Aligners Effectively Realign Teeth You Stand Out Wearing Metal Braces Straighten Teeth Without Changing Your Diet You Can Clean Your Teeth Normally Realign Teeth and Take...
How Effective Are Invisible Braces
Table of contents Clear Aligners Effectively Realign Teeth You Stand Out Wearing Metal Braces Straighten Teeth Without Changing Your Diet You Can Clean Your Teeth Normally Realign Teeth and Take...
Continue Reading
Can Clear Braces Get Stained?
Table of contents How Clear Braces Work Can Clear Braces Get Stained? Are the Stains Permanent? Foods That Cause Staining of Clear Braces How to Keep Clear Braces Clean and...
Can Clear Braces Get Stained?
Table of contents How Clear Braces Work Can Clear Braces Get Stained? Are the Stains Permanent? Foods That Cause Staining of Clear Braces How to Keep Clear Braces Clean and...
Continue Reading
Fix the Gap in Between Teeth Without Braces Heres How
Table of contents What Causes the Gap in Between Teeth? Frenum Gum Disease Jaw Size Genetics Incorrect Swallowing Reflex Habits What Are the Problems Associated with Teeth Gap? How Can...
Fix the Gap in Between Teeth Without Braces Heres How
Table of contents What Causes the Gap in Between Teeth? Frenum Gum Disease Jaw Size Genetics Incorrect Swallowing Reflex Habits What Are the Problems Associated with Teeth Gap? How Can...
Continue Reading
What Causes Crooked Teeth
Table of contents What Causes Crooked Teeth? Genetics Diet Bad Habits Oral Hygiene Trauma Oral Health Physical Health Emotional and Mental Health Which Treatment Options Are Available? Metal Braces Clear...
What Causes Crooked Teeth
Table of contents What Causes Crooked Teeth? Genetics Diet Bad Habits Oral Hygiene Trauma Oral Health Physical Health Emotional and Mental Health Which Treatment Options Are Available? Metal Braces Clear...
Continue Reading
What is Plaque and What Can You Do About Plaque on Teeth With Braces
Table of contents What Is Plaque on Teeth? What Causes Plaque? Why Is Plaque Harmful? How To Get Rid of Plaque on Teeth? Plaque and Braces Need Help Preventing Plaque...
What is Plaque and What Can You Do About Plaque on Teeth With Braces
Table of contents What Is Plaque on Teeth? What Causes Plaque? Why Is Plaque Harmful? How To Get Rid of Plaque on Teeth? Plaque and Braces Need Help Preventing Plaque...
Continue Reading