Our Blogs & Resources
Read about our discoveries, and the evolution of work.
Blog

Clear Aligners and Sports-Related Dental Injuries
Table of contents Understanding Sports-Related Dental Injuries Clear Aligners: An Ideal Solution Enhanced Comfort Removable Design Improved Performance Customized Protection Tips for Athletes Wearing Clear Aligner Consult with Your Orthodontist...
Clear Aligners and Sports-Related Dental Injuries
Table of contents Understanding Sports-Related Dental Injuries Clear Aligners: An Ideal Solution Enhanced Comfort Removable Design Improved Performance Customized Protection Tips for Athletes Wearing Clear Aligner Consult with Your Orthodontist...
Continue Reading
Achieving Long-lasting Results: How to Maintain a Whiter Smile
Table of contents Understanding Clear Aligners Whitening Benefits of Clear Aligners Enhanced Oral Hygiene Reduced Staining Agents Even Whitening Maintaining a Whiter Smile with Clear Aligners Regular Oral Care Routine...
Achieving Long-lasting Results: How to Maintain a Whiter Smile
Table of contents Understanding Clear Aligners Whitening Benefits of Clear Aligners Enhanced Oral Hygiene Reduced Staining Agents Even Whitening Maintaining a Whiter Smile with Clear Aligners Regular Oral Care Routine...
Continue Reading
Orthodontic Treatment and Its Role in Promoting Periodontal Health
Table of contents Introduction Improved Oral Hygiene Reduced Gum Inflammation Enhanced Periodontal Tissue Stability Corrected Occlusion Prevention of Tooth Loss Better Overall Oral Health FAQs Introduction Orthodontic treatment has long...
Orthodontic Treatment and Its Role in Promoting Periodontal Health
Table of contents Introduction Improved Oral Hygiene Reduced Gum Inflammation Enhanced Periodontal Tissue Stability Corrected Occlusion Prevention of Tooth Loss Better Overall Oral Health FAQs Introduction Orthodontic treatment has long...
Continue Reading
How Straight Teeth Improve Brushing and Flossing
Table of contents Improved Access to Surfaces Efficient Plaque Removal Reduced Risk of Tooth Decay Healthier Gums Enhanced Bite Alignment Improved Overall Oral Health: Conclusion FAQs Introduction: Maintaining good dental...
How Straight Teeth Improve Brushing and Flossing
Table of contents Improved Access to Surfaces Efficient Plaque Removal Reduced Risk of Tooth Decay Healthier Gums Enhanced Bite Alignment Improved Overall Oral Health: Conclusion FAQs Introduction: Maintaining good dental...
Continue Reading
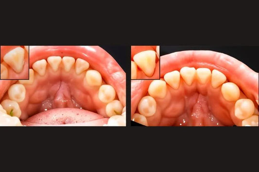
Clear Aligners for Relapsed Teeth
Table of contents Understanding the Causes of Teeth Relapse: How Clear Aligners Work Benefits of Clear Aligners for Relapsed Teeth Conclusion Yay! you’ve got the smile of your dreams. But...
Clear Aligners for Relapsed Teeth
Table of contents Understanding the Causes of Teeth Relapse: How Clear Aligners Work Benefits of Clear Aligners for Relapsed Teeth Conclusion Yay! you’ve got the smile of your dreams. But...
Continue Reading
Clear Aligner Treatment Process: A Comprehensive Step-by-Step Guide
Table of contents Introduction Step 1: Initial Consultation Step 2: Digital Scanning or Impressions Step 3: Treatment Plan Design Step 4: Aligner Fabrication Step 5: Receiving and Wearing the Aligners...
Clear Aligner Treatment Process: A Comprehensive Step-by-Step Guide
Table of contents Introduction Step 1: Initial Consultation Step 2: Digital Scanning or Impressions Step 3: Treatment Plan Design Step 4: Aligner Fabrication Step 5: Receiving and Wearing the Aligners...
Continue Reading
Jaw Exercises for Clear Aligner Relief
Table of contents Introduction Importance of Jaw Exercises Jaw Stretch Resistance Bite Tongue Press Chin Tucks Jaw Rotation Side-to-Side Movement Conclusion Introduction: Jaw exercises can help strengthen the muscles involved...
Jaw Exercises for Clear Aligner Relief
Table of contents Introduction Importance of Jaw Exercises Jaw Stretch Resistance Bite Tongue Press Chin Tucks Jaw Rotation Side-to-Side Movement Conclusion Introduction: Jaw exercises can help strengthen the muscles involved...
Continue Reading
Herbal Tea Infusions for Soothing Clear Aligner Discomfort
Table of contents Understanding Clear Aligner Discomfort The Soothing Power of Herbal Tea Infusions Chamomile Tea Peppermint Tea Ginger Tea Echinacea Tea Cinnamon Tea Conclusion FAQs Embarking on a journey...
Herbal Tea Infusions for Soothing Clear Aligner Discomfort
Table of contents Understanding Clear Aligner Discomfort The Soothing Power of Herbal Tea Infusions Chamomile Tea Peppermint Tea Ginger Tea Echinacea Tea Cinnamon Tea Conclusion FAQs Embarking on a journey...
Continue Reading
Holistic Approaches to Relieving Clear Aligner Pain and Sensitivity
Table of contents Maintain Proper Oral Hygiene Over-the-Counter Pain Relief Cold Compress Warm Saltwater Rinse Orthodontic Wax Essential Oils Chewing Sugar-Free Gum Regular Orthodontic Check-ups FAQs Clear aligners have transformed...
Holistic Approaches to Relieving Clear Aligner Pain and Sensitivity
Table of contents Maintain Proper Oral Hygiene Over-the-Counter Pain Relief Cold Compress Warm Saltwater Rinse Orthodontic Wax Essential Oils Chewing Sugar-Free Gum Regular Orthodontic Check-ups FAQs Clear aligners have transformed...
Continue Reading
Clear Aligners for Class II and III Malocclusions
Table of contents Introduction Understanding Class II and Class III Malocclusions The Rise of Clear Aligners Benefits of Clear Aligners for Class II and Class III Malocclusions Treatment Process with...
Clear Aligners for Class II and III Malocclusions
Table of contents Introduction Understanding Class II and Class III Malocclusions The Rise of Clear Aligners Benefits of Clear Aligners for Class II and Class III Malocclusions Treatment Process with...
Continue Reading
How Clear Aligners Simplify Treatment
Table of contents Introduction Understanding Orthodontic Challenges Traditional Orthodontic Treatment Methods The Emergence of Clear Aligners How Clear Aligners Simplify Treatment Customized and Comfortable Removable and Convenient Enhanced Aesthetics Easier...
How Clear Aligners Simplify Treatment
Table of contents Introduction Understanding Orthodontic Challenges Traditional Orthodontic Treatment Methods The Emergence of Clear Aligners How Clear Aligners Simplify Treatment Customized and Comfortable Removable and Convenient Enhanced Aesthetics Easier...
Continue Reading
How Much Do Braces Cost in Perth? A Comprehensive Guide
Table of contents Introduction Factors Affecting the Cost of Braces Tips for Finding Affordable Braces in Perth Conclusion Introduction If you're considering orthodontic treatment to achieve a straighter smile, it's...
How Much Do Braces Cost in Perth? A Comprehensive Guide
Table of contents Introduction Factors Affecting the Cost of Braces Tips for Finding Affordable Braces in Perth Conclusion Introduction If you're considering orthodontic treatment to achieve a straighter smile, it's...
Continue Reading